Fluoride - Tooth Decay Prevention, Fluorosis and other Potential Effects
Tooth decay occurs when bacteria accumulate on dental plaque in our mouths after consuming sugar-sweetened foods and refined carbohydrates. The bacteria (mainly Streptococus mutans and Lactobacillus) produce acids that dissolve the mineral surface of our teeth (ie they de-mineralize our tooth enamel). Since fluoride had been said to inhibit the production of acid, it seemed logical that fluoride would help to resist tooth decay.
Despite the fact that its primary use had been in rat and other poisons, fluoride was introduced dental health care during the early 1900s. Consumers were therefore warned to use only VERY SMALL amounts. This is why a poison warning is placed on commercial toothpaste packaging.
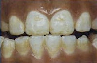
However, if consumers use the amount of toothpaste seen on television commercials (ie a spread of toothpaste that extends over the full length of the toothbrush), they run the risk of poisoning themselves with excessive fluoride consumption. An accumulation and or excessive use of fluoride can do the opposite of what we hope it can do. Specifically, it causes dental fluorosis (a condition characterized by tooth discoloration, crumbling and decay). Additionally, fluoride interferes with re-mineralization of the tooth enamel.
--
--Fluoride comes from fluorine which is highly corrosive and toxic. In fact, its toxicity is similar to and exceeds that of arsenic and lead respectively.
Although many people suffer from fluorosis, so many others do not. For instance, like us (Mr and Miss Converted), some of those who do not are adults who have white teeth after having used the same small 'safe amount' since childhood. Why then should these fortunate people avoid fluoride?
--
--
--
The answer is simply that the evidence of the health dangers of fluoride is not only in the mouth. Instead, it is hidden deep in the rest of your body. Fluoride is absorbed easily and deeply throughout our bodies. In reality, the effects of this absorption are insidious like grains of sand with no immediate or visible effect … until one day when the scale is finally tipped inexorably and fatefully by a single grain. In fact, you probably would not even link your daily routine fluoride-related habits with that grim day’s arrival.
Ways in which fluoride can affect us (other than dental fluorosis)
It may:
- facilitate the brain’s absorption of aluminum (the substance found in most Alzheimer’s patients)
- cause neurotoxicity and lowers the IQ. (In fact, it is reported that the Nazis and slave owners in the Americas used it successfully in making their subjects more docile).
- contribute to thyroid problems
- disrupt the endocrine system
- block upper chakras that are used as spiritual and intuitive channels. This kind of blockage can lead to an over reliance on logic, eye problems (physical and spiritual) and mental illness (that includes depression and learning / cognitive problems).
- cause osteoporosis, hip fractures, bone and other kinds of cancer
- cause various musculoskeletal problems
- overwork the kidneys when the body struggles with all of the other toxins we ingest from modern food and
- even cause death
Medical Research on Efficacy
Unfortunately, independent empirical testing suggests that efficacy occurs to an extent that is either minute or non-existent. For instance, the largest US-based survey involving nearly forty thousand persons conducted by the National Institute of Dental Research in the mid 1980s apparently revealed no statistically or clinically significant difference in protection against tooth decay when they compared 2 groups - those exposed and those unexposed to fluoride (Chandler, 1989). Similar results recurred in various other studies. For instance, according to data from the World Health Organization (WHO), the same was also observed when comparing the same 2 types of group across countries and or towns within countries.
The fact that dental health has improved has been attributed to better dental hygiene and knowledge.
In short, there appeared to be only a small probability that we (Mr and Miss Converted) could actually enjoy some benefit in fighting tooth decay with fluoride dentifrice.
--
--
Your Dentist
If your dentist has not already told you about the health dangers associated with fluoride toothpaste, he probably does not know. It is apparently only after additional research done on their own that many dentists change their approach.
Like Dr Bill Osmunson (of the Fluoride Action Network), numerous medical professionals now spearhead campaigns against fluoridation. Dentists worth keeping are those that will do the additional research if you highlighted concerns regarding the health risks mentioned here. Keep in mind however that thorough review of the empirical research may take some time.
How can fluoride enter into your body?
Since fluoride is relatively soluble, it can be absorbed very easily and deeply into your body by your:
- lungs when you inhale it in fluoridated air
- skin through physical contact
- the gastrointestinal (GI) tract when you ingest it in the various foods mentioned here
- gums and other thin, soft tissue in your mouth
Different Kinds of Fluoride
Our relief in finding out that there was an apparently slightly safer type of fluoride (calcium fluoride) was short lived. The more harmful types of fluoride (mostly sodium fluoride) are used in toothpaste and other fluoridated products. We are not scientists. However, it seems reasonable to assume that the “Sodium monofluorophosphate 0.76%” on the label of one of the most popular commercial toothpastes seems to be the more harmful type.
--
--
Can we simply use fluoride in moderation?
It seemed to us that, if we wanted to monitor and control our fluoride intake, that would require us to strike a very delicate balance between using too little and too much. We will need to know: the probability that our personal circumstances afforded us the unusual probability of benefiting; the standard tolerance levels associated with our age among various other demographic characteristics; the extent to which we personally deviate from the standard; and exactly how much fluoride we ingested.
Furthermore, there is no point measuring one’s fluoride exposure only on the basis of toothpaste since we ingest fluoride in numerous other ways that might even exceed our daily safe limit. For instance, apart from toothpaste, other sources of fluoride include:
- fluoridated tap water,
- some infant formulas,
- some infant dry cereals prepared in fluoridated water areas,
- some juices and juice-flavored drinks,
- many carbonated drinks,
- some teas,
- wine,
- beer made in fluoridated water areas,
- mechanically de-boned chicken,
- some fish,
- some drugs like antidepressants / mood enhancers,
- teflon pans (unconfirmed scientifically),
- cigarettes,
- some anaesthestics,
- pesticides used for many agricultural produce,
- fluoridated salt in certain countries,
- anesthetics and some vegetable pesticides.
After considering the various fluoride sources (some of which may not have been stated), it appears tedious, if not impossible to accurately monitor how much fluoride we ingest. For instance, unlike toothpaste companies, many brands do not specify the quantity of fluoride contained in their products. This may be due to the fact that, the manufacture of many products does not involve the routine inclusion of fluoride but one or more of their ingredients had been previously fluoridated. A common manufacture input in such cases is fluoridated water.
Fluoride Water Filters
Complete Stainless Steel Water Filter System; 2 Black Berkey Filters; 2 PF-2 Fluoride Filters; Holds 6 gallons of purified water; Filters up to 6.5 gallons per hour
Fluoride Water Filters
Crown Berkey Stainless Steel Water Filter System; 8 Black Berkey Water Purification Filters; 4 Sport Berkey Water Purification Bottles; Can filter up to 26 gallons per hour; Holds 6 gallons of filtered water
--
--
Fluoride Alternatives - Take Naturopathic Control!Being overwhelmed by the tedium and difficulty of monitoring our fluoride intake and having never heard of fluoride deficiencies, we decided to seize Naturopathic Control by eliminating fluoride whenever possible. Since fluoride toothpaste is a major source, we avoid it by using alternatives.
We are also weary of commercial toothpastes that claim to be ‘healthy’ or ‘natural’. For instance, we recently noticed that a leading brand now boasts its use of baking soda. However, a closer inspection of the ingredients revealed that fluoride was still present. It is possible that, even when fluoride had been excluded, other substances (like Sodium Lauryl Sulfate (SLS), Sodium Monofluorophosphate) may be included and pose potentially harmful health threats.
Here is a list of alternatives. Read more details below.
- Homemade toothpaste (homemade toothpaste; homemade whitening toothpaste)
- Do not reconstitute dehydrated foods or infant formula with fluoridated water. This simple tip is said to reduce your fluoride intake by as much as 100 to 200 times (Levy et al, 1999). Excellent systems specifically geared for removing fluoridated water include: Crown Berkey Water Filter System With blk 2 Filters & 2 PF-2 Fluoride Filters
or Crown Berkey Water Filter With 8 Black Filters & 4 Sport Bottles
- Use a de-fluoridation water system. Use non-fluoridated water that has been prepared though reverse osmosis (Watts WP5-50 Premier Five-Stage Manifold), distillation (Nutriteam) or low-fluoridated bottle water. Crown Berkey Water Filter System With blk 2 Filters & 2 PF-2 Fluoride Filters
is a top notch alternative.
- Be mindful of the various food and other sources of fluoride (See above)
- Use sugar substitute sweeteners that actually help to fight cavities like Stevia (Now) / Stevia Extract (Now) or Xylitol powder (Now). (Before choosing the type of substitute, first consider how you wish to use it. For instance, Xylitol is not suitable for foods with yeast.)
- Avoid prolonged exposure to acids since they de-mineralize enamel. Types of exposure include: vomit and, during a bout of acid reflux, your saliva. Acid bearing food examples include: sodas and starchy snacks. (Dr Weston Price’s book ‘Nutrition and Physical Degeneration’ shows an interesting phenomenon when observing people in environments where ‘modern foods’ (ie processed and junk foods) were relatively unavailable. His general conclusion was that the introduction of ‘modern foods’ correlates with the occurrence of tooth decay. Noteworthy is the fact that the vast majority of people in the US is said to be susceptible to tooth decay at some point in their lives.
- Since your saliva plays an important role in re-mineralization, avoid practices and foods that dry your mouth. Most common examples include: smoking and consuming alcohol.
- Use natural sea salt. (Celtic Sea Salt (The Grain & Salt Society) and Himalayan Coarse / Fine are examples). It contains many trace minerals. (Do not mistake this for processed iodized table salt).
- Use foods that are rich in Vitamin C to strengthen your gums
- Use foods that are rich in vitamin D to maintain general dental health
- Avoid excessive physical force on your teeth. This even includes treating tooth grinding habits
- Use foods rich in calcium and phosphorous to enhance the re-mineralizaton of the tooth enamel. Example of such foods include figs and sardines (for calcium) and legumes and lentils (for phosphorous)
- NB, We have not yet tried it but hear that oil pulling is good for strengthening gums, preventing decay by removing the bacteria, improving breath and general dental health. If you have tried it, please let us know about your experiences in the ‘Comments’ section.
Children & Fluoride
It is a renowned fact that children are most vulnerable. This is due to the facts that: children often swallow delicious toothpaste (Levy et al, 1999); use more than the pea-sized amount (Ibid) and receive even higher levels of fluorides from other sources (above) that even include some doctor-prescribed drugs.
If left unsupervised, children are unlikely to follow the small print instructions over the highly visual commercials that demonstrate long, colorful spreads of toothpaste along a toothbrush? Some ways in which a child's fluoride intake can be managed include the following:
- Consider points 1 to 4 above
- Supervise brushings
Related Information:
See our fluoride detox methods
See our fluoride detox methods
Sources
Chandler, D (1989) ‘New Data Rekindle Debate Over Fluoridation; Largest US Study Raises New Questions About Effectiveness’ in https://www.fluoridealert.org/, accessed September 20, 2010
Fluoride Action Network: https://www.fluoridealert.org/, accessed September 20, 2010
Heilman JR et al (1999) ‘Assessing Fluoride Levels of Carbonated Soft Drinks', Journal of the American Dental Association, 130 (11), pp 1593 – 9
Levy, S and Guha-Chowdhury, N. (1999) ‘Total Fluoride Intake and Implications For Dietary Fluoride Supplementation’, Journal of Public Health Dentistry, 59, pp 211-23


I think this How to remove Fluoride from water article will fully complement your article. PLease continue publishing helpful topics like this. Regards, from CWR.
ReplyDelete